O empresário Abílio Diniz faleceu na noite desse domingo (18/2), aos 87 anos. O fundador e ex-sócio do Grupo Pão de Açúcar estava internado em São Paulo há mais de duas semanas tratando uma pneumonia. De acordo com a família, a morte de Diniz foi provocada por insuficiência respiratória causada pela pneumonite.
O que é pneumonite?
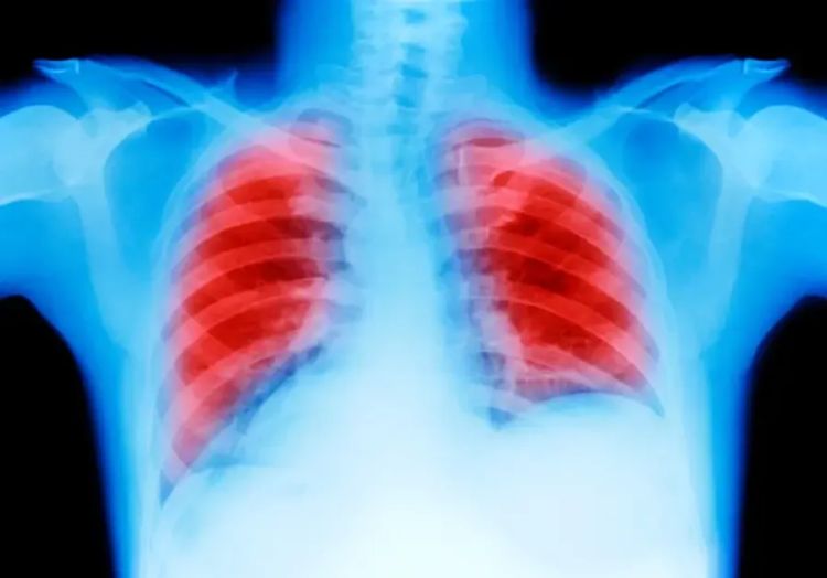
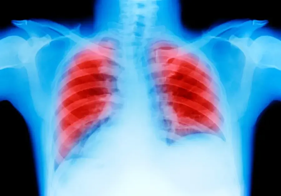
A pneumonite é caracterizada pela inflamação de um ou dos dois pulmões, dos bronquíolos e dos alvéolos pulmonares, estruturas responsáveis pelas trocas gasosas através da respiração. A condição pode ser causada após uma reação alérgica provocada pelo contato com poeira, mofo, compostos químicos ou até mesmo medicamentos.
Qual é a diferença entre pneumonia e pneumonite?
A diferença entre a pneumonia e pneumonite está na causa e como as doenças agem no corpo. A primeira é causada por infecção por vírus, bactérias ou fungos. Já a pneumonite se desenvolve pela exposição a compostos químicos.
“Os idosos são mais frágeis e propensos a apresentarem pneumonias porque, geralmente, têm alguma comorbidade associada, como diabetes, obesidade, hipertensão e tabagismo”, explica a pneumologista Gilda Elizabeth da Fonseca, médica do Hospital Brasília Unidade Águas Claras.
Quais são os sintomas da pneumonite? Pacientes com pneumonite apresentam:
Tosse;
Falta de ar e dificuldade para respirar;
Cansaço excessivo;
Aumento da frequência respiratória (taquipneia)
Febre;
Perda de peso sem causa aparente;
Perda do apetite.
Diagnóstico
O diagnóstico da pneumonite é feito por um médico clínico geral ou pneumologista através da avaliação dos sintomas, histórico de saúde do paciente, exame físico com a escuta dos pulmões ou por exames para atestar a saúde dos pulmões, como raio-X de tórax, tomografia computadorizada e exames laboratoriais.
Como é o tratamento da
pneumonite?
O tratamento varia de acordo com a origem da doença. Para alguns casos pode ser indicado o uso de corticoides ou oxigenoterapia, por exemplo.



Comentários (0)
Os comentários são de responsabilidade exclusiva de seus autores e não representam a opinião desta página, se achar algo que viole os termos de uso, denuncie.
Comentar